=

Ayakta durduğunuzda ve yürüdüğünüzde belinizde, bacağınızda ağrılar oluşuyor mu? Dikkatli olun!
Bir ileri yaş hastalığı olan ve daha çok da 50’li yaşlardan sonra ortaya çıkan Spinal Stenoz’a erken yaşlarda da yakalanmak mümkün.
Spinal Stenoz nedir?

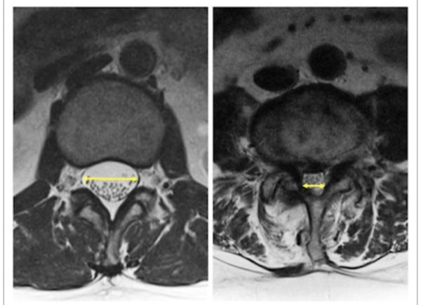
Spinal stenoz, halk arasında dar kanal olarak bilinen bir hastalık olup, polikliniklere başvuran tüm hastalar içerisinde boğaz enfeksiyonlarından sonra 2. veya 3. sıklıkta görülen bir hastalıktır. Genellikle bel omurlarında görülmekle birlikte boyun omurlarında da olabilir. Tanımı şu şekilde yapılabilir. Omuriliğin geçtiği kanal ve omurilikten çıkan sinirlerin geçtiği deliklerin bir şekilde daralmasına verilen isim dar kanal veya spinal stenoz’dur.
“Bu hastalığın pek çok sebepleri vardır”
Fakat en sık rastlanılanı omurgadaki dejenerasyonlardır. Omurgamızda, bel bölgesinde beş tane omur vardır ve bundan en ortada olan üç omur arasında bu hastalık en sık görülür. Fakat bu hastalığa sebep olan sadece dejenerasyon değildir. Omurilik ve omurilikten çıkan sinirlerin kanallarını daraltan her türlü sebep, dar kanal hastalığını oluşturabilir.
Mesela doğuştan kanal dar olabilir; enfeksiyonlar, tümörler, kırıklar, kırık sekelleri, fıtıklar bu hastalığa sebebiyet verebilir. Aynı zamanda omurgadaki bazı eğrilikler bu hastalığı meydana getirebilir. Bu eğrilikler gençlik çağından kalma eğrilikler olabildiği gibi sonradan çıkan eğrilikler de olabilir ve bunlarda karşımıza dar kanal veya Spinal Stenoz olarak çıkarlar.
Spinal Stenoz hastalarının şikayetleri nelerdir?
Spinal Stenoz hastalarının şikayetleri, bel ağrısı ve ayaklara vuran ağrı şeklinde seyreder. Bu hastalıkta tipik olarak nörojenik kladikasyo denen bir durum oluşur. Hastalarda ayakta durmak ve yürümekle bel ile bacak ağrıları oluşur. Dinlenmek ve öne doğru eğilmekle şikayetleri azalır. Bu yüzden ileri yaşlarda görülen bu dar kanal hastalığına maruz kalanlar, yürümekle başlayan ağrılarını gidermek için belli bir süre dururlar ve buna tipik olarak vitrin hastalığı denilir. Çünkü ağrılarını geçirmek için etrafa veya vitrinlere bakarlar. Ağrıları geçtikten sonra yürümeye devam ederler.
Yavaş ilerleyen bir hastalık olduğu için ciddi sinir arazları ve felçler olmaz. Bu durumda belli bir sinir değil, pek çok sinirler etkilenmektedir. Nörojenik kladikasyo bazı durumlarla da karışır. Özellikle damar sertlikleri ve damar tıkanıklıklarında da benzer şikayetler oluşturur.
O yüzden bu hastaların teşhislerinde, mutlaka damar muayenelerinin de yapılması gerekmektedir.
Radyolojik muayeneler nasıl olmaktadır?

Muayene bulguları içerisinde üzerinde durmamız gereken en önemli unsur radyolojik muayenelerdir. Burada, direkt röntgenler ile beraberinde manyetik rezonans ve bununla beraber gerektiğinde Myelo-MR çekilerek darlıkların nerede ve ne miktarda olduğu tespit edilir.
Spinal Stenoz tedavisi nasıl yapılır?
Öncelikle ameliyatsız tedavi edilmesi gerekir. Pek çok Spinal Stenoz vakasında %80’e varan oranda ameliyatsız olarak iyileşme sağlanabilir. Ancak ameliyatsız yöntemlerde başarısız olunur ve beraberinde ciddi sinir arazları ortaya çıkarsa cerrahi tedavi yapılması şarttır. Hastalığın miktarına, kaç segment tuttuğuna, beraberinde eğrilikler olup olmadığına ve kaymaların varlığına göre muhtelif tedaviler gerçekleştirilebilmektedir.
Bel kayması nasıl oluşur? Nasıl tedavi edilir?
Bel hastalıkları içerisinde sık görüleni bel kaymalarıdır. Bunun tıbbi ismi Spondilolistezis’dir. En sık bel bölgesinde görülür fakat boyun omurlarında da olabilir. Spondilolistezis muhtelif sebeplerle meydana gelir. En az beş nedeni vardır. En sık görüleni istmik olarak bilinenidir. Omurgada çok zayıf bir nokta olan pars bölgesinde bir kırık oluşur ve bu kırık neticesinde iki omurun birbiri ile olan ilişkisi bozularak bir omur, bir alttaki omura göre öne doğru kayar. Bu sık bilinen ve sık görülen bir bel kayması sebebidir.
Fakat bunun dışında direkt travmalar, enfeksiyonlar, tümörler, dejenatif sebepler ve doğuştan bel kaymaları da olmaktadır. Bel kaymaları dar kanal ile aynı şikayetleri verir ve tedavileri de birbirlerine oldukça benzemektedir. Bel kaymaları, omurganın %25-50’ye kadar kaydığı durumlarda ameliyatsız tedavi edilir. %50’den daha fazla olan kaymaları, doğuştan olan kaymaları ve cerrahi dışı tedaviler yapılmasına rağmen sonuç alınamayan vakaları ameliyat etmek gerekmektedir.